Открыт крупнейший и тяжелейший объект ранней Вселенной

Огромные «семьи» галактик, включавшие в себя тысячи аналогов Млечного Пути, существовали во Вселенной уже через два миллиарда после Большого Взрыва. Это в очередной

Слова из разных областей России, которые не понять без переводчика с русского на русский

Астраханская область В Астрахани швабру называют лентяйкой, стрекоз — коромысликами, а ворон — каргами. Словом «хурды-мурды» именуют пожитки, личные вещи. Баклажаны называют демьянками, а для маленькой речки

Невероятное обезболивающее из самого острого вещества в мире

В Марокко есть растение Euphorbia resinifera, или смоляной молочай. Его основное вещество резинифератоксин, по шкале Сковилла в нем 16 миллиардов единиц. Это в 10 000

В Японии добрались до грязи: японцы полируют до идеального блеска шары из земли

Дороданго — традиционное времяпрепровождение для японских школьников, которое сейчас доросло до статуса отдельного вида искусства хикару («сияющее»). Основу для дороданго делают из земли,

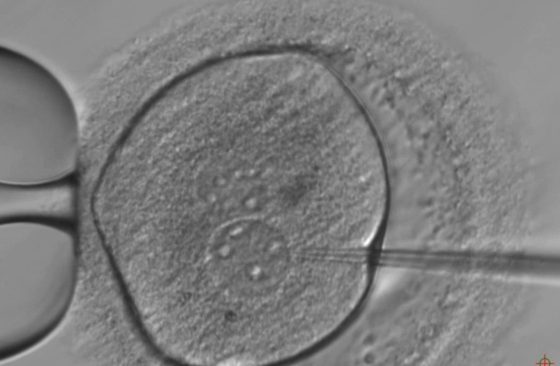
Китайский ученый заявил о рождении первых в мире генетически модифицированных детей

В 2015 году китайские ученые впервые успешно отредактировали геном человека в лабораторных условиях. Тогда о создании генетически модифицированных людей заговорило все мировое сообщество и некоторые

ТОП 5 АНИМЕ ПО ВЕРСИИ FEEDBACK.MD

АНИМЕ ИНДУСТРИЯ РАСКИНУЛА СВОИ ЩУПАЛЬЦЫ ПО ВСЕМУ МИРУ. ФАНАТОВ ЯПОНСКОЕ МУЛЬТИПЛИКАЦИОННОГО ИССКУСТВА НАСЧИТЫВАЕТСЯ ОКОЛО МИЛЛИАРДА, А ТО И НЕСКОЛЬКО МИЛЛИАРДОВ. СПРОСИТЕ ЛЮБОГО СМОТРЕЛ